Home Search
cancer - search results
If you're not happy with the results, please do another search
Nanowire Device for Microscopic Detection of Cancer Biomarkers in Urine
Nanowire Device for Microscopic Detection of Cancer Biomarkers in Urine
Analyzing microRNAs (miRNAs) within urine extracellular vesicles (EVs) is important for realizing miRNA-based, simple, and...
Roche to Collaborate with Actelion Spin-Off to Focus on Cancer Immunotherapy
Roche to Collaborate with Actelion Spin-Off to Focus on Cancer Immunotherapy
Actelion’s spin-off Idorsia is off to a great start with a large pipeline and...
Array BioPharma, Pfizer Strategic Tie-Up to Focus on Anti-Cancer Combos
Array BioPharma, Pfizer Strategic Tie-Up to Focus on Anti-Cancer Combos
Boulder-based Array BioPharma has now entered a strategic collaboration with Pfizer with intent to investigate...
Blood DNA Methylation Markers Detect Fatal Breast Cancer Up To a Year Earlier
Blood DNA Methylation Markers Detect Fatal Breast Cancer Up To a Year Earlier
Breast cancer is by far the most frequently occurring cancer in women....
Janssen Partners up with Legend Biotech to Develop Investigational CAR-T Anti-Cancer Therapy
Janssen Partners up with Legend Biotech to Develop Anti-Cancer Therapy
Johnson & Johnson's Janssen Biotech has now entered into a worldwide collaboration and license agreements...
Study Explores Breast Cancer’s Methionine-Dependency, Offers Potential Treatment Strategies
Breast Cancer’s Methionine Dependency, Offers Potential Treatment Ways
Cells can use the same precursor to produce either methionine or cysteine, but can free up cysteine...
Study Provides Insights on Origin of Cancer through Mature Cell Discovery
Study Provides Insights on Origin of Cancer through Mature Cell Discovery
Rapidly dividing, yet aberrant stem cells have traditionally been believed to be a major...
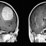
“Electric Cap” Shown to Prolong Survival in Deadly Brain Cancer
“Electric Cap” Shown to Prolong Survival in Deadly Brain Cancer
For patients diagnosed with glioblastoma, an aggressive form of brain cancer that strikes about 3...
Regeneron, ISA Pharmaceuticals Announce I-O Collab Against HPV-related Cancer
ISA Pharmaceuticals Announce I-O Collab Against HPV-related Cancer
Regeneron Pharmaceuticals and Netherlands-based ISA Pharmaceuticals have now entered a clinical collaboration to advance ISA101, an immunotherapy targeting human papillomavirus...
Cancer Research UK, Celgene Ink Cancer R&D Pact
Cancer Research UK, Celgene Ink Cancer R&D Pact
Cancer Research Technology (CRT), a subsidiary of Cancer Research UK, has now entered a 5-year collaboration with...
Scientists Use New Imaging Modality to Detect Cancer in Tissues
Scientists Use New Imaging Modality to Detect Cancer in Tissues
Monitoring biomarkers and injected theranostic nanomaterials in tissues and organs plays a pivotal role in...
Cancer Drug Developed By Indian Researchers Shows Potential in Treating Tumours
Cancer Drug developed by researcher,shows Potential in Treating Tumours
Targeted therapy, as the name suggests, involves the use of ‘designer molecules’ directed against a particular...
Researchers Uncover Advanced Cancer Resistance Pathway
Researchers Uncover Advanced Cancer Resistance Pathway
Researchers have discovered a mechanism of resistance to checkpoint inhibitors and how to reverse it. The biomarker results from...
Cancer Drug Could Offer Potential Treatment for Huntington’s disease
Cancer Drug Could Offer Potential Treatment for Huntington’s disease
Researchers studying neurodegenerative diseases have now found a novel potential treatment for Huntington's disease (HD), a...
Study: Seaweed Found to Reduce Cancer Growth Rate
Study: Seaweed Found to Reduce Cancer Growth Rate
A breakthrough research has now confirmed that two unique compounds extracted from specific seaweed have significant cancer-inhibiting...









































