PhD Program 2018 Admissions @ DRILS – Dr. Reddy’s Institute of...
PhD Program 2018 Admissions @ DRILS - Dr. Reddy’s Institute of Life Sciences
This call expires in :
Ph.D. PROGRAM 2018
DR. REDDY’S INSTITUTE OF LIFE SCIENCES
About...
Biocon to Invest in Uttar Pradesh Health Sector, Intends to Encourage...
Biocon to Invest in UP Health Sector, to Encourage Entrepreneurs in State
Bengaluru-based biotech, Biocon, headed by Kiran Mazumdar-Shaw reportedly is to invest in the...
Study Explores Breast Cancer’s Methionine-Dependency, Offers Potential Treatment Strategies
Breast Cancer’s Methionine Dependency, Offers Potential Treatment Ways
Cells can use the same precursor to produce either methionine or cysteine, but can free up cysteine...
Strides Procures Majority Stake in South African Biotech
Strides Procures Majority Stake in South African Biotech
Bengaluru-based Strides Shasun has now entered into definitive agreements with Trinity Pharma Proprietary, South Africa for acquisition...
Biotecnika Times – Newsletter 26.12.2017
DST - Women Scientists Scheme-C (WOS-C) | Training W/Stipend in Intellectual Property Rights
Women Scientist Scheme (WOS) is a flagship programme of KIRAN Division of Department...
A Complete Look at the Protein behind Sense of Touch
A Complete Look at the Protein behind Sense of Touch
Often ignored when we talk about our fundamental senses, the sensation of touch is a...
Nutrient Transport in Tall Trees – An Overview of the Entire...
Nutrient Transport in Tall Trees - An Overview of the Entire Process
Tall people are literally the giants among men, walking around with near total...
FDA Approves First Gene Therapy to Treat Rare Inherited Vision Loss
FDA Approves First Gene Therapy to Treat Rare Inherited Vision Loss
“Today’s approval marks another first in the field of gene therapy — both in...
Plasmonic Biosensors for Naked-Eye Detection of Exosomes
Plasmonic Biosensors for Naked-Eye Detection of Exosomes
Exosomes are nanovesicles of 50–100 nm diameter that are released from most viable cells. They are secreted into...
Scientists Cash In On Weakness in Bacterial Cell Wall to Fight...
Scientists Cash On Weakness in Bacterial Cell Wall to Fight Ab Resistance
Although the multilayered architecture of the cell envelope of gram-negative bacteria was first...
Breakthrough Alert: Researchers Edit Faulty Gene to Disrupt Hearing Loss
Breakthrough Alert: Researchers Edit Faulty Gene to Disrupt Hearing Loss
Hearing requires the conversion of acoustic energy into electrical signals. Sound waves travel through the...
Biotecnika Times – Newsletter 22.12.2017
Govt Job : 79 Officer Positions @ TSPSC - Telangana State Public Service Commission
Applications are invited Online from qualified women candidates through the proforma
Application...
Inhibition of Common Enzyme Found to Prolong Lifespan
Inhibition of Common Enzyme Found to Prolong Lifespan
This, I must say is a big discovery and I think things are looking up for the...
Taking a Cue from Ancient Egyptians, Scientists Develop Sustainable Fuel Cells
Cue from Ancient Egyptians, Scientists Develop Sustainable Fuel Cells
Think about Egypt, and all these images of mummies crawling out of dimly-lit pyramids come to...
PhD Admissions 2018-2019 @ NII – National Institute of Immunology
PhD Admissions 2018-2019 @ NII - National Institute of Immunology
This call expires in :
National Institute of Immunology (NII) invites applications for its Ph.D. programme....
Viruses Share Genes with Organisms across the Tree of Life: Study
Viruses Share Genes with Organisms across the Tree of Life: Study
The Darwinian paradigm holds that copying mistakes and the shuffling of existing genes are sufficient...
Study Provides Insights on Origin of Cancer through Mature Cell Discovery
Study Provides Insights on Origin of Cancer through Mature Cell Discovery
Rapidly dividing, yet aberrant stem cells have traditionally been believed to be a major...
EMBO Symposia 2019 : Funding of 60,000 Euros – Applications Invited
Applications Invited : India | EMBO Symposia 2019 : Funding of 60,000 Euros
This call expires in :
The Wellcome Trust/DBT India Alliance (India Alliance) and European Molecular Biology Organization (EMBO) are looking...
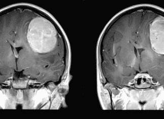
“Electric Cap” Shown to Prolong Survival in Deadly Brain Cancer
“Electric Cap” Shown to Prolong Survival in Deadly Brain Cancer
For patients diagnosed with glioblastoma, an aggressive form of brain cancer that strikes about 3...
Back To Lab – Fellowship Programme For Women Researchers (Research &...
Back To Lab - Fellowship Programme For Women Researchers (Reserach & Post-Doctoral)
This call expires in :
About the scheme:
The “Back-to-Lab” programme of Women Scientists Division...





































