FDA Approves First Gene Therapy to Treat Rare Inherited Vision Loss
FDA Approves First Gene Therapy to Treat Rare Inherited Vision Loss
“Today’s approval marks another first in the field of gene therapy — both in...
Plasmonic Biosensors for Naked-Eye Detection of Exosomes
Plasmonic Biosensors for Naked-Eye Detection of Exosomes
Exosomes are nanovesicles of 50–100 nm diameter that are released from most viable cells. They are secreted into...
Scientists Cash In On Weakness in Bacterial Cell Wall to Fight Ab Resistance
Scientists Cash On Weakness in Bacterial Cell Wall to Fight Ab Resistance
Although the multilayered architecture of the cell envelope of gram-negative bacteria was first...
Breakthrough Alert: Researchers Edit Faulty Gene to Disrupt Hearing Loss
Breakthrough Alert: Researchers Edit Faulty Gene to Disrupt Hearing Loss
Hearing requires the conversion of acoustic energy into electrical signals. Sound waves travel through the...
Biotecnika Times – Newsletter 22.12.2017
Govt Job : 79 Officer Positions @ TSPSC - Telangana State Public Service Commission
Applications are invited Online from qualified women candidates through the proforma
Application...
Inhibition of Common Enzyme Found to Prolong Lifespan
Inhibition of Common Enzyme Found to Prolong Lifespan
This, I must say is a big discovery and I think things are looking up for the...
Taking a Cue from Ancient Egyptians, Scientists Develop Sustainable Fuel Cells
Cue from Ancient Egyptians, Scientists Develop Sustainable Fuel Cells
Think about Egypt, and all these images of mummies crawling out of dimly-lit pyramids come to...
PhD Admissions 2018-2019 @ NII – National Institute of Immunology
PhD Admissions 2018-2019 @ NII - National Institute of Immunology
This call expires in :
National Institute of Immunology (NII) invites applications for its Ph.D. programme....
Viruses Share Genes with Organisms across the Tree of Life: Study
Viruses Share Genes with Organisms across the Tree of Life: Study
The Darwinian paradigm holds that copying mistakes and the shuffling of existing genes are sufficient...
Study Provides Insights on Origin of Cancer through Mature Cell Discovery
Study Provides Insights on Origin of Cancer through Mature Cell Discovery
Rapidly dividing, yet aberrant stem cells have traditionally been believed to be a major...
EMBO Symposia 2019 : Funding of 60,000 Euros – Applications Invited
Applications Invited : India | EMBO Symposia 2019 : Funding of 60,000 Euros
This call expires in :
The Wellcome Trust/DBT India Alliance (India Alliance) and European Molecular Biology Organization (EMBO) are looking...
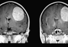
“Electric Cap” Shown to Prolong Survival in Deadly Brain Cancer
“Electric Cap” Shown to Prolong Survival in Deadly Brain Cancer
For patients diagnosed with glioblastoma, an aggressive form of brain cancer that strikes about 3...
Back To Lab – Fellowship Programme For Women Researchers (Research & Post-Doctoral)
Back To Lab - Fellowship Programme For Women Researchers (Reserach & Post-Doctoral)
This call expires in :
About the scheme:
The “Back-to-Lab” programme of Women Scientists Division...
Researches Use AI to Quickly and Accurately Identify Bacteria
Researches Use AI to Quickly and Accurately Identify Bacteria
The mortality rate from bloodstream infections (BSIs) can be up to 40%, and every day’s delay...
CSTUP-Summer Research Fellowship Programme (CSTUP-SRFP)
CSTUP-Summer Research Fellowship Programme (CSTUP-SRFP)
This call expires in :
Introduction:
Council of Science & Technology, U.P. offers summer research fellowships for two months to bright students of...
































