FDA Approves First Gram-Negative Antibiotic in over 15 years for Over Hospital-Acquired Pneumonia
FDA Approves First Gram-Negative Antibiotic in over 15 years for Over Hospital-Acquired Pneumonia
Allergan plc's supplemental New Drug Application (sNDA) has now been approved by the...
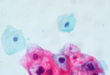
Tonsillar Crypts Might Shield HPV, Giving Way to Cancer
Tonsillar Crypts Might Shield HPV, Giving Way to Cancer
The pathogenesis of human papillomavirus (HPV)-associated oropharyngeal squamous cell carcinoma is currently an important topic of...
Flu Genome Could Hold Clues for Better Pandemic Flu Surveillance
Flu Genome Could Hold Clues for Better Pandemic Flu Surveillance
Generally very slow, evolution in case of viruses remains fast and deadly. Flu viruses change rapidly to...
Life Sciences PhD Admissions – February 2018 @ RGCB
Life Sciences PhD Admissions - February 2018 @ RGCB
This call expires in :
PhD ADMISSIONS - FEBRUARY 2018
If you are a life sciences candidate and...
Biotecnika Times – Newsletter 05.02.2018 – Inlaks Scholarships 2018, Ravi Sankaran Fellowship
Biotecnika Times - Newsletter 05.02.2018 - Inlaks Scholarships 2018, Ravi Sankaran Fellowship
Inlaks Scholarships 2018 - Get Scholarship of Upto US$100,000 to Study Abroad
If you...
2018 Postdoctoral Scholars Programs @ Academia Sinica – Applications Invited
2018 Postdoctoral Scholars Programs @ Academia Sinica - Applications Invited
This call expires in :
Postdoctoral candidates are invited to apply for the 2nd session of Academia...
Bacteria ‘Fight Club’: Guardians of the Gut Fight it Out
Bacteria ‘Fight Club’: Guardians of the Gut Fight it Out
Fight! Fight! Fight!
A tale of survival in the Microbial Jungle proceeds.
There’s a war going on...
Space Diet: A Scoop of Poop! Astronauts on Deep-Space Missions to Survive Off of...
Astronauts on Deep-Space Missions to Survive Off of Their Own Poop
The power of poo might help us conquer the cosmos.
Now, there is no reason...
Artificial Superconducting Synapses Could Enable More Efficient- And More Human AI Systems
Artificial Superconducting Synapses Enables More Efficient & Human AI
For those working in the field of advanced artificial intelligence, getting a computer to simulate brain...
Improved Gene-Editing Offers Correction of Diverse Muscular Dystrophy Mutations
Improved Gene-Editing Corrects Diverse Muscular Dystrophy Mutations
Genome editing with CRISPR/Cas9 is a promising new approach for correcting or mitigating disease-causing mutations. Duchenne muscular dystrophy...
Urine-Derived Cells Helps Design Synthetic Adrenal Gland
Urine-Derived Cells Helps Design Synthetic Adrenal Gland
"It is a first step in generating an artificial adrenal gland which would benefit all patients with adrenal...
Qiagen to Acquire Spanish Biotech STAT-Dx in €153M Deal
Qiagen to Acquire Spanish Biotech STAT-Dx in €153M Deal
Dutch technology conglomerate Qiagen is now all set to acquire Barcelona-based Stat-Dx, a developer of multiplex infectious...
Biotecnika Times – Newsletter 02.02.2018 – Prime Minister Research Fellowship of Rs 1,800 Crore
Biotecnika Times - Newsletter 02.02.2018 - Prime Minister Research Fellowship of Rs 1,800 Crore
PM Research Fellowship of Rs 1,800 Crore To be Launched |...
PM Research Fellowship of Rs 1,800 Crore – Rs 80,000 a Month PhD Grant...
PM Research Fellowship of Rs 1,800 Crore To be Launched | Here is What You Should Know !
India is a country with tens of...
The Saviour Returns : Long-Abandoned Antibiotic Makes Come-back to Battle Superbugs
Long-Abandoned Antibiotic Makes Come-back to Battle Superbugs
Over-reliance on and misuse of antibiotics has led to warnings of a future without effective medicines.
Scientists are presently...


































