PhD Admissions in Biotech / Biochem / Life Science – 2018...
PhD Admissions in Biotech / Biochem / Life Science - 2018 @ NIT Patna
National Institute of Technology Patna invites application for admission to Ph....
Biotecnika Times – Newsletter 19.02.2018 – DBT-Research Associate Fellowships – 2018
Biotecnika Times - DBT-Research Associate Fellowships - 2018
DBT-Research Associate Fellowships - 2018 in Life Sciences & Biotechnology | Stipend of Rs. 36,000-40,000/- pm
If you...
Chemical Administrated through Engineered Bacteria Amps Up Wound Healing
Chemical Administrated via Engineered Bacteria Hastens Wound Healing
Delivery B(acteria)oy
“Chronic wounds are a very common problem that causes severe suffering among those affected and demands...
Indian Scientist Successfully Controls Diabetes in Animal Study
Indian Scientist Successfully Controls Diabetes in Animal Study
India currently faces an uncertain future in relation to the potential burden that diabetes may impose upon...
Inhibition of Cytosolic TXN reductase 1, A Novel Anti-Cancer Strategy
Inhibition of Cytosolic TXN reductase 1, A Novel Anti-Cancer Strategy
Cancer cells adapt to their inherently increased oxidative stress through activation of the glutathione (GSH)...
Nestlé and Nuritas Embark on AI-Powered Mission to Find Food-Derived Bioactive...
Nestlé and Nuritas Embark on AI-Mission to Find Food-Derived Bioactives
Global food company Nestlé will now be collaborating with an Irish biotech to discover bioactive...
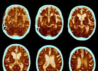
Enzyme Depletion Shown to Result in Alzheimer’s Reversal
Enzyme Depletion Shown to Result in Alzheimer’s Reversal
Alzheimer’s disease (AD), which is the most common age-dependent neurodegenerative disease, is characterized by the presence of...
Scientists Develop $2 per gene DIY Sequencing Tech
Scientists Develop $2 per gene DIY Sequencing Tech
Improving our ability to construct and functionally characterize DNA sequences would broadly accelerate progress in biology. But the...
Biotecnika Times – Newsletter 16.02.2018 – CCMB Summer Training – 2018
Biotecnika Times - CCMB Summer Training - 2018, SERB JC Bose
CCMB Summer Training Programme - 2018
MSc students from any science background are encouraged and...
Stem Cell-Mediated, Functional Human Kidney Grown Inside of a Live Organism...
Stem Cell-Mediated, Functional Human Kidney Grown Inside Live
The mammalian kidney generates and eliminates waste products and is essential for life. Annually, 2.6 million people...
An Ingestible QR Code that Helps Deliver Tailored Medication : Future...
An Ingestible QR Code that Helps Deliver Tailored Medication
3D printers are all the rage in design and manufacturing circles right now. And the general...
CCMB Summer Training Programme – 2018
CCMB Summer Training Programme - 2018
MSc students from any science background are encouraged and eligible to apply for the CCMB Summer Training Programme - 2018....
Ph.D. Programme (Biological Sciences) – 2018 @ S. N. Bose National...
Ph.D. Programme (Biological Sciences) @ S. N. Bose National Centre for Basic Sciences
MSc candidates with first class in Biophysics or Biochemistry with valid CSIR-NET-JRF/ UGC-NET-JRF...
IIT Madras Student Launches “IIT Startups” in San Fransisco
IIT Madras Student Launches "IIT Startups" in San Fransisco
An Indian Institute of Technology Madras alumnus, Monishi Sanyal has now launched a non-profit accelerator at the Bay...
Bristol-Myers Squibb, Sirenas Pen Multi-Target Collab Agreement
Bristol-Myers Squibb, Sirenas Pen Multi-Target Collab Agreement
Bristol-Myers Squibb has now entered a research collaboration involving discovery work related to some undisclosed therapeutic targets with...
Cervical Cancer Identifying HPV Assay Approved by the USFDA
Cervical Cancer Identifying HPV Assay Approved by the USFDA
New Jersey-based BD (Becton, Dickinson and Company) has now received the FDA nod for its BD Onclarity...
Fruit Fly Genome Sheds Light on the Process of Aging
Fruit Fly Genome Sheds Light on the Process of Aging
rDNA loci, composed of hundreds of tandemly duplicated arrays of rRNA genes, are known to...
Biotecnika Times – Newsletter 15.02.2018 – ICMR-IITKGP- IIMA Internship 2018
Biotecnika Times - ICMR-IITKGP- IIMA Internship 2018, Cancer Research
ICMR-IITKGP- IIMA Med Tech Internship Award (Summer 2018)
To tackle health needs of the country, to reach...
Cancer Therapy Nanobots Successfully Seek & Shrink Tumors
Cancer Therapy Nanobots Successfully Seek & Shrink Tumors
Scientists at the Arizona State University in collaboration with those at the National Center for Nanoscience and...
Scientists Harness Super Toxic siRNAs Associated with Huntington’s for New Cancer...
Scientists Harness Super Toxic siRNAs from Huntington’s for Cancer Treat.
Trinucleotide repeat (TNR) expansions in the genome cause a number of degenerative diseases. A prominent TNR expansion...




































