Biotecnika Times – Newsletter 31.01.2018 – Exclusive Govt Jobs @ NITI Aayog, Central Silk...
Biotecnika Times - Newsletter 31.01.2018 - Exclusive Govt Jobs @ NITI Aayog, Central Silk Board
NITI Aayog - Govt of India Recruiting Biotech Candidates |...
Sequenced Axolotl Genome Unravels Genetic Roots of Sophisticated Regeneration
Sequenced Axolotl Genome Unravels Genetic Roots of Sophisticated Regeneration
The replacement-parts king of the amphibian world, the axolotl is a fascinating creature. With extreme regeneration...
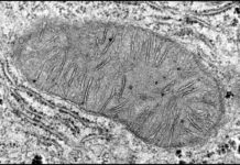
Lysosomes and Mitochondria Catch up on Regulation in Cell
Lysosomes and Mitochondria Catch up on Regulation in Cell
In the latest scoop, scientists chanced upon the two key cellular structures, mitochondria and lysosome getting...
Dr. Reddy’s Recalls 1000 Docetaxel Injection Vials from the US
Dr. Reddy’s Recalls 1000 Docetaxel Injection Vials from the US
A total of 1,051 vials of Docetaxel injection 20 mg/mL distributed in the United States,...
Sanofi Outpaces Novo, Buys Ablynx for $4.8 billion
Sanofi Outpaces Novo, Buys Ablynx for $4.8 billion
The French drugmaker has now acquired Ablynx, for $4.8 billion after the Belgian biotech turned down two...
Protein That Keeps Metastatic Breast Cancer Cells Dormant
Protein That Keeps Metastatic Breast Cancer Cells Dormant
For many patients with breast cancer, symptomatic bone metastases appear after years of latency. How micrometastatic lesions...
Study Uses HiPSCs to Demonstrate Contribution of Molecular Switches in Disease Risk
Study Uses HiPSCs to Demonstrate Contribution of Molecular Switches in Disease Risk
Scientists at the Wellcome Sanger Institute and their collaborators, have now uncovered the...
Researchers Reform Flu Virus to Inhibit Pancreatic Cancer
Researchers Reform Flu Virus to Inhibit Pancreatic Cancer
Metastatic pancreatic ductal adenocarcinomas (PDAC) are incurable due to the rapid development of resistance to all current...
Biotecnika Times – Newsletter 30.01.2018 – Govt Life Science Jobs @ UPSC, CDSA
Biotecnika Times - Newsletter 30.01.2018 - Govt Life Science Jobs @ UPSC, CDSA
Govt MSc Life Sciences Job @ CDSA | Clinical Research Associate Position...
Gene on X Chromosome Could be Reason Why Lupus Disproportionately Affects Women
Gene on X Chromosome Could be Reason Why Lupus Disproportionately Affects Women
9 of 10 individuals who develop lupus are women. Also, XXY individuals have...
Biogen’s MS drug Potentiates Oncolytic Viruses In Fight Against Cancer
Biogen’s MS drug Potentiates Oncolytic Viruses In Fight Against Cancer
Oncolytic viruses are a promising anti-cancer platform, achieving significant pre-clinical and clinical milestones in recent...
Universal Flu Vaccine Constituting Double-Layered Protein Nanoparticles In Works
Universal Flu Vaccine Constituting Double-Layered Protein Nanoparticles In Works
As of late January, the 2017-2018 flu season was called “intense” by Dr. Brenda Fitzgerald, director...
Panacea Biotec, Serum Institute Ink Long-Term Pacts
Panacea Biotec, Serum Institute Ink Long-Term Pacts
Panacea Biotec has now announced two long term agreements with Serum Institute of India (SII) and SII’s wholly...
Previously Unknown, Bacteria-Hunting Marine Viruses Discovered
Previously Unknown, Bacteria-Hunting Marine Viruses Discovered
"The recovery of the non-tailed autolykiviruses represents a first step in revealing extensive missed diversity in one of the...
Biotecnika Times – Newsletter 29.01.2018 – ARS NET 2018 Notification, Newton International Fellowships
Biotecnika Times - Newsletter 29.01.2018 - ARS NET 2018 Notification, Newton International Fellowships
Notification for ARS Examination 2017 & National Eligibility Test (NET) 2018
The Agricultural...


































